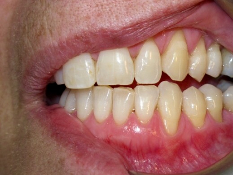
This year thanks to masks have really brought things to life that we never thought of before. Do you ever wonder if bad breath is related to something other than having just eaten or not brushing your teeth in the morning? And why do your teeth sometimes bleed when you’re brushing them or flossing? This can be a big issue and we wanted to talk a little bit about it.
The big one that comes to mind is, Gingivitis. It is usually the case for these two symptoms. Your gums are slowly getting worse, which can impact your teeth if left unchecked. Fortunately, things are reversible if you’ve been neglecting a healthy dental routine on a daily. We’ve provided four simple tips for you to help improve the health of your gums.
Floss.
Flossing at least once a day is a major game-changer in the health of your gums. By removing built-up food and plaque from your teeth, gum line, and hard to reach places, you can greatly reduce your chances of developing gingivitis (or worse, periodontitis). Whether you floss in the morning, before bed, or after a big meal, it’s just important to get in the habit of flossing at least once each day.
Get regular dental cleanings and not just once a year. Regular is something that we all have our own option on, but you need to step up your dental game especially in 2020 to makes sure you are not falling behind on your own dental health. This is one of the most important things to consider. We can detect early gum disease symptoms if you see us regularly. Though you may dread cleanings, professional cleaning is the only way to remove hard tartar. It can also get rid of any plaque you missed when brushing or flossing. If you have gingivitis, coming in to see your local dentist for regular dental cleanings can help reverse the disease. There is really not point in hurting y our own body by not taking care of it and you need to save some money as well. Keeping problems from happening can save thousands of dollars for a single person and even more for a whole family.

The next thing that can really help our your gums is to simply, Quit smoking. Smoking is a big factor in developing gum disease because it weakens your immune system and deteriorates tissue in your mouth. It’s also harder for your gums to recover from damage and disease if you regularly smoke. There is nothing fun about smoking when it comes to your health. It hurts you all around and not only in your mouth.

It is really wise to make sure you are Brushing twice a day. By brushing at least two times every day, you help to remove plaque and food that’s trapped between your teeth and gums. Electric toothbrushes can also help reduce gum disease more than manual brushing. This is the basic information given by the American Dental Association and there really is nothing better than helping our your body by protecting your mouth. If you are not brushing twice a day you may simply be letting cavy causing bacteria to grow and destroy your body from the inside out.
If your gums bleed whenever you brush your teeth, think about coming in to see your local dentist for a cleaning